
MUSCLOR-oC
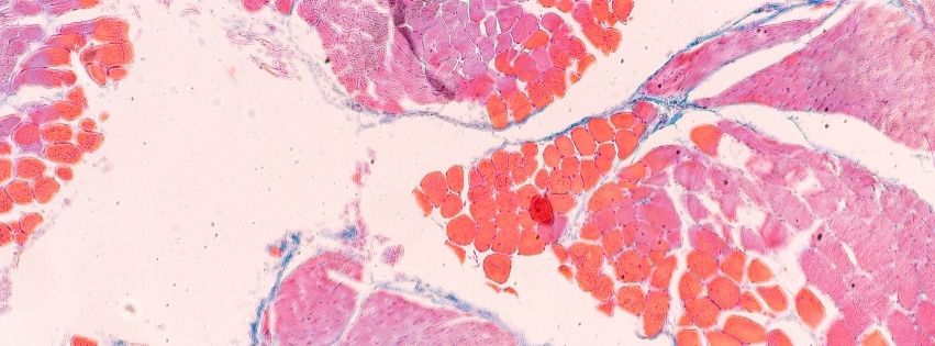
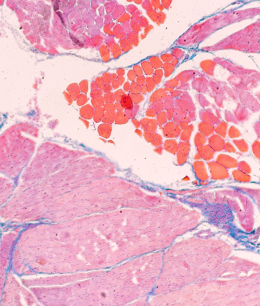
Le muscle squelettique, tissu le plus abondant du corps humain, joue un rôle clé dans la locomotion, la respiration, la thermorégulation et l’homéostasie métabolique. Son altération est impliquée dans de nombreuses pathologies, des maladies neuromusculaires (MNM) comme la dystrophie musculaire de Duchenne (DMD) et l’amyotrophie spinale (SMA), jusqu’à la sarcopénie liée à l’âge et aux maladies chroniques (cancer, diabète). Malgré les avancées en modélisation et en thérapies régénératives, les modèles musculaires humains in vitro ne reproduisent pas la complexité physiologique du muscle natif, notamment son organisation spatiale, sa diversité cellulaire et ses fonctions spécifiques.
Coordinateur

PUPH
Inserm
Institutions et établissements impliqués
Work Packages
CNRS; Inserm; Université Paris-Est Créteil; Sorbonne Université; UGA; U Strasbourg
Les objectifs scientifiques sont structurés autour de Work Packages :
- WP1 : Développement d’un muscle humain 3D innervé par des motoneurones et cellules de Schwann pour reconstituer des JNM fonctionnelles.
- WP2 : Introduction des fibroblastes conjonctifs et tendineux pour générer des JMT et le continuum muscle-tendon.
- WP3 : Intégration de ces deux interfaces dans une plateforme unifiée avec perfusion microfluidique et organisation spatiale biomimétique.
- WP4 : Exploitation de ce système pour modéliser la DMD et la SMA à partir de cellules iPSC de patients, en testant des thérapies géniques de référence, afin de démonter la faisabilité d’un criblage thérapeutique personnalisé.
Programme de recherche
Le projet MUSCLOR-oC vise à concevoir une plateforme de muscle humain sur puce de nouvelle génération, reproduisant les propriétés structurelles et contractiles des fibres musculaires et intégrant deux interfaces majeures: la jonction neuromusculaire (JNM) et la jonction myotendineuse (JMT). Ces structures, essentielles à l’innervation et à la transmission de la force, sont fréquemment altérées dans les MNM. Or, à ce jour, aucun modèle ne permet leur coexistence fonctionnelle dans un même tissu in vitro, limitant leur pertinence translationnelle.
Les données préliminaires des partenaires démontrent la faisabilité et la performance des tissus musculaires 3D dérivés de cellules souches musculaires primaires et d’hiPSC. Ces constructions présentent des myofibres matures, une activité contractile et des signatures pathologiques qui récapitulent les phénotypes des maladies. D’autres innovations technologiques incluent des puces personnalisées à base de PDMS conçues pour la modularité et le suivi de la force en temps réel, ainsi que de nouveaux biomatériaux qui améliorent la différenciation myogénique et l’organisation structurelle. L’intégration avec des approches de pointe de séquençage de l’ARN sur noyau unique permet une analyse domaine-spécifique de haute résolution.


Résultats attendus
MUSCLOR-oC fournira un outil novateur aux communautés scientifiques française et internationale, comblant le fossé entre la biologie musculaire, la modélisation des maladies et la médecine translationnelle. La plateforme sera évolutive, modulaire et adaptable au criblage à haut débit. Elle servira également de fondation à l’élaboration de jumeaux cliniques et à la stratification des réponses des patients aux thérapies géniques ou médicamenteuses. Le projet s’inscrit pleinement dans les objectifs du PEPR MED-OOC, offrant une contribution unique dans le domaine sous-exploré des systèmes musculaires squelettiques. En ciblant les principaux besoins non satisfaits dans la recherche neuromusculaire et en intégrant l’innovation technologique à la connaissance biologique, MUSCLOR-oC offre un fort potentiel pour accélérer le développement de thérapies de nouvelle génération et améliorer les résultats pour les patients.
Le consortium
Le projet repose sur un consortium multidisciplinaire combinant expertises en biologie musculaire, ingénierie tissulaire, organes sur puce, transcriptomique et modélisation de maladies.
Institut Mondor de la Recherche Biomédicale (IMRB); Developmental Adaptation and Aging Laboratory (Dev2A); Laboratoire Interdisciplinaire de Physique (LIPhy); Institut de génétique et de biologie moléculaire et cellulaire (IGBMC)
Plus de projets